Enfermedad de Kienböck: qué es, síntomas y tratamiento

La enfermedad de Kienböck es una patología poco frecuente de la muñeca que afecta al hueso semilunar, uno de los ocho huesos del carpo. Fue descrita en 1910 por el médico austriaco Robert Kienböck y, aunque es rara, puede tener un gran impacto en la calidad de vida de quienes la padecen.

Se trata de una necrosis avascular, es decir, una falta de riego sanguíneo que daña progresivamente al hueso. Con el tiempo, esto puede provocar que el semilunar se fracture, se colapse y desencadene una artrosis de la muñeca, con dolor crónico y pérdida de fuerza.


¿Por qué aparece la enfermedad de Kienböck?

La causa exacta no se conoce, pero se cree que influyen varios factores:

  • Factores anatómicos: algunas personas tienen variaciones en los huesos de la muñeca (como un cúbito más corto que el radio) que aumentan la presión sobre el semilunar.

  • Factores vasculares: en ciertos casos, el semilunar recibe menos irrigación sanguínea, lo que lo hace más vulnerable.

  • Factores mecánicos y traumáticos: microtraumatismos repetidos (golpes o sobrecarga en la muñeca) pueden contribuir a que el hueso se deteriore.

  • Factores de riesgo generales: trabajos manuales, deportes de impacto, tabaquismo, consumo de alcohol o algunas enfermedades de la sangre.


Síntomas más frecuentes

La enfermedad de Kienböck suele afectar a adultos jóvenes, especialmente varones entre los 20 y 40 años, y con más frecuencia en la muñeca dominante.

Los síntomas más habituales son:

  • Dolor en la parte superior (dorsal) de la muñeca.

  • Rigidez y dificultad para mover la mano.

  • Hinchazón.

  • Pérdida de fuerza de agarre.

  • Dolor al apoyar la mano o al hacer esfuerzos.

En fases avanzadas, el dolor se vuelve constante y aparece la artrosis.


Cómo se diagnostica

El diagnóstico se realiza con:

  • Exploración física: dolor localizado en el dorso de la muñeca.

  • Radiografías: en fases iniciales pueden ser normales.

  • Resonancia magnética: la mejor prueba para detectar la enfermedad en etapas tempranas.

  • TAC: útil para valorar fracturas y colapso del semilunar.

Los especialistas utilizamos la clasificación de Lichtman para determinar el estadio de la enfermedad, desde fases iniciales (cuando solo se ve en la resonancia) hasta las más avanzadas (con artrosis).


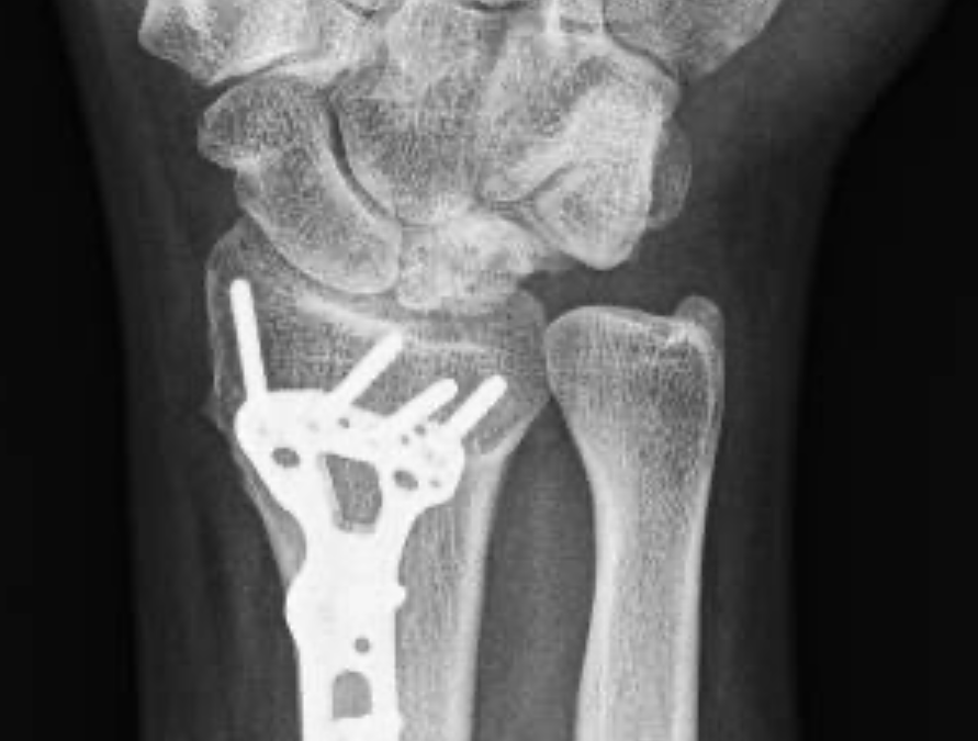
Tratamiento de la enfermedad de Kienböck

El tratamiento depende de la fase en la que se encuentre la enfermedad y de las características de cada paciente. Las opciones incluyen:

Tratamiento conservador

  • Inmovilización con férula y analgésicos.

  • Puede ser útil en fases muy tempranas, aunque en adultos muchas veces no es suficiente.

Tratamiento quirúrgico

  • Osteotomías (acortamiento o nivelación del radio o el cúbito) para redistribuir las cargas sobre la muñeca.

  • Revascularización o injertos óseos para mejorar la llegada de sangre al semilunar.

  • Procedimientos de rescate en fases avanzadas:

    • Carpectomía de la fila proximal.

    • Artrodesis parcial o total de la muñeca.

    • Denervación selectiva para aliviar el dolor.

El objetivo siempre es aliviar el dolor, conservar el mayor movimiento posible y mantener la fuerza de la mano.


Pronóstico

La enfermedad de Kienböck es progresiva, por lo que el diagnóstico temprano es clave. En las primeras fases, el tratamiento puede preservar la movilidad y retrasar la evolución. En fases avanzadas, los procedimientos buscan sobre todo mejorar la calidad de vida reduciendo el dolor.


Conclusión: si tienes dolor persistente en la muñeca, especialmente en la mano dominante y sin causa clara, es importante consultar con un especialista en mano. Un diagnóstico precoz puede marcar la diferencia en el tratamiento y en el futuro de tu muñeca.